|
種屬 |
人 |
|
別稱 |
CaLu-3; CALU-3; Calu 3; Calu3; CALU3 |
|
組織來源 |
來源于轉移部位:胸腔積液 |
|
疾病 |
肺腺癌 |
|
傳代比例/細胞消化 |
1:2傳代,消化5-8分鐘 |
|
完全培養基配置 |
MEM培養基;20% 胎牛血清;1%雙抗 |
|
簡介 |
該細胞是從一名25歲的白人男性肺腺癌患者的胸水中分離建立的;該患者曾使用過環磷酰胺、博來霉素、阿霉素進行治療。該細胞接種至裸鼠可成瘤;可作轉染宿主。 |
|
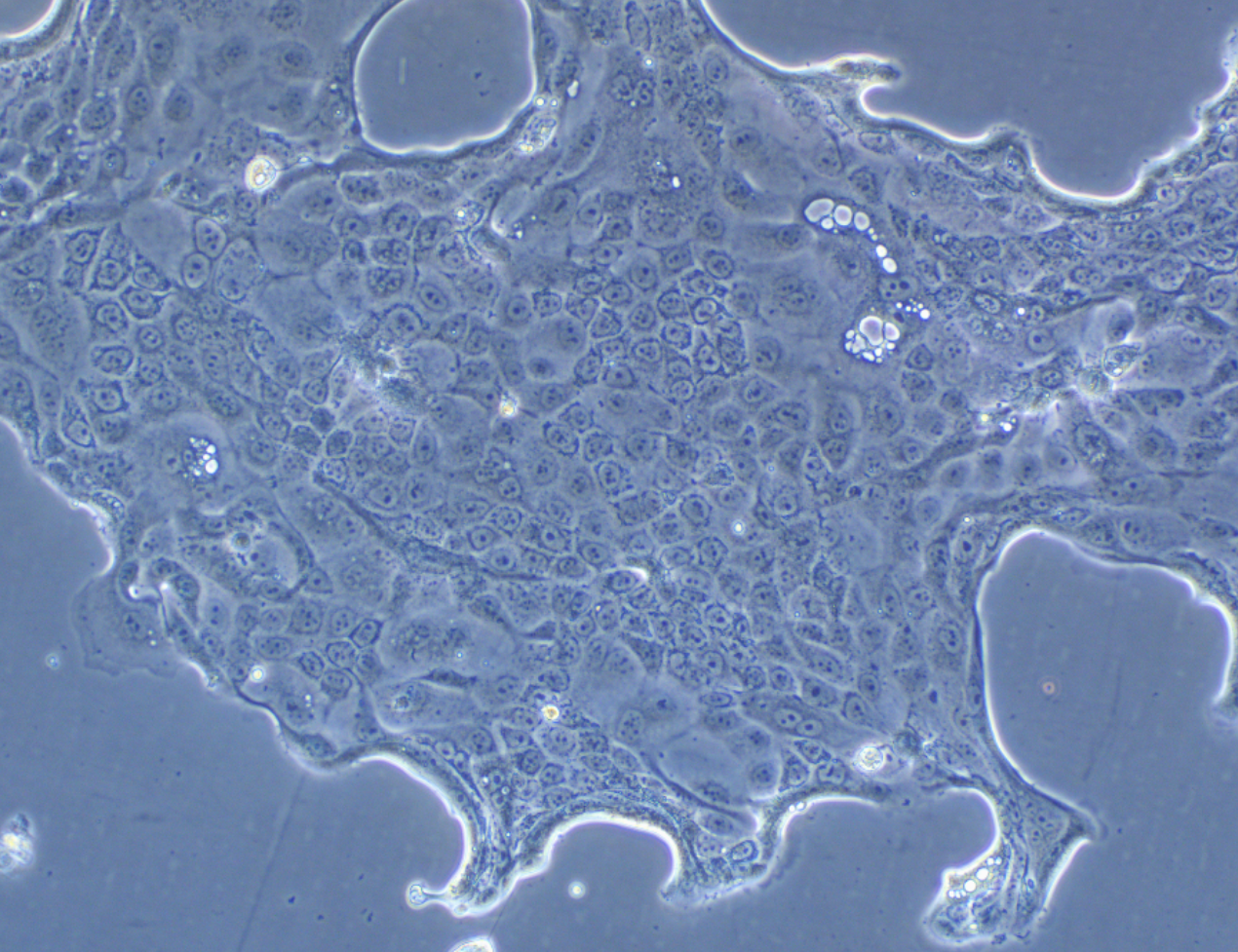
形態 |
上皮細胞樣 |
|
生長特征 |
貼壁生長 |
|
倍增時間 |
~35-45h |
|
基因表達 |
Leu 7 +; My23 +; CD11b + |
|
抗原表達 |
Leu 7 +; My23 +; CD11b + |
|
致瘤性 |
Yes, forms well differentiated grade I adenocarcinoma in nude mice. |
|
STR |
Amelogenin: X CSF1PO: 11,12 D13S317: 12 D16S539: 12,14 D5S818: 11 D7S820: 10,11 TH01: 6,9.3 TPOX: 8vWA: 16,17 |
|
培養條件 |
氣相:空氣,95%;二氧化碳,5%。 溫度:37攝氏度,培養箱濕度為70%-80%。 |
|
凍存條件 |
凍存液:90%FBS,DMSO 10%, 或使用非程序凍存液:官網貨號JY-H040 |
|
保藏機構 |
ATCC; HTB-55 |
|
產品使用 |
僅限于科學研究,不可作為動物或人類疾病的治療產品使用。 |



